赤坂で小児矯正をお考えなら赤坂まつの矯正歯科
成長期は、骨格が柔軟で変化しやすいという大きなメリットがあります。
この時期に適切な介入ができれば、成人矯正と比べて短期間で負担が少なく改善できる可能性があります。
一方で、拡大床などの装置を早期から過剰に使うと、
などにつながるケースも少なくありません。
赤坂まつの矯正歯科ではこうしたリスクを避けるため、必要以上の歯列弓の拡大や早期介入は行いません。まずは今の顎の状態、咬み合わせ、口腔習癖の有無を正確に分析、診断し、正しい治療のタイミングを見極めることを大切にしています。
顎の幅には個人差があり、成長を無視した拡大は負担が大きく、長期的に見てもメリットが少ないケースがあります。赤坂まつの矯正歯科では、生物学的な正しさを重視し、必要な場合にのみ適切な装置を使用します。
小児期に無理な矯正を行うのではなく、成長を観察しながらベストな時期を待つことで、短期間で効率よく治療が進むことがあります。「必要なときに、必要な治療だけ」を徹底することが、お子さまの負担を減らすことにつながると考えています。
舌で歯を押す、口呼吸、頬杖などのクセは、歯並びだけでなく、顎骨の成長、呼吸、姿勢、集中力にも影響します。 赤坂まつの矯正歯科では、MFT(口腔筋機能療法) を取り入れ、歯並びの土台となる筋機能から整えていきます。
赤坂まつの矯正歯科では、お子さまが自然に馴染める明るい雰囲気づくりを心がけています。「矯正が怖い・痛い」という印象を与えないよう、お子さまに寄り添った治療を行っています。
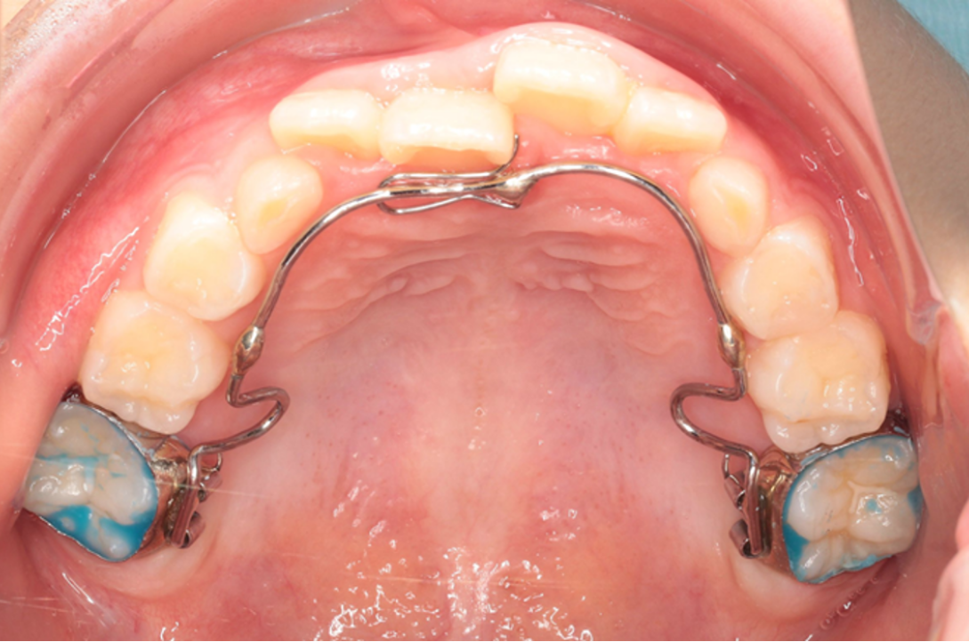
お子さまの症状や成長段階に応じて、以下のような治療を行います。
など、骨格や噛み合わせに問題がある場合は早期に対応したほうが良い場合があります。
咬唇癖(唇を咬む癖)、舌癖(舌を前や横に出す癖)、低位舌(舌の位置が下にある)、口呼吸などの口腔周囲筋の悪習癖があると矯正治療が終わった後でも歯並びが崩れやすくなったり、発音に問題が出たりすることがあるので、なるべく小児の時期に悪い癖を取り除き、成長を妨げる要因を取り除くことが重要となります。
永久歯がそろうタイミングで、必要に応じて治療を行います。赤坂まつの矯正歯科では、過度な介入は避け、その人に最適な治療方針、治療計画 をご提案します。
基本的な目安は、前歯4本が永久歯に生え替わった頃です。
ただし、乳歯列のうちからご相談いただいても問題ありません。
赤坂まつの矯正歯科では、「すぐ治療を始めること」に重きを置くのではなく、成長や癖の状態を正しく理解していただくことを大切にしています。
「周りが始めているから」「今やらないと手遅れになる」といった情報に振り回されず、医学的に正しい判断ができるようサポートいたします。
成長の方向性やスピードを見極めるため、年1回のセファロ撮影をおすすめしています。
赤坂まつの矯正歯科のデジタルレントゲンは被曝量が少なく、安心して受けていただけます。
この成長観察により、
が客観的に判断できます。
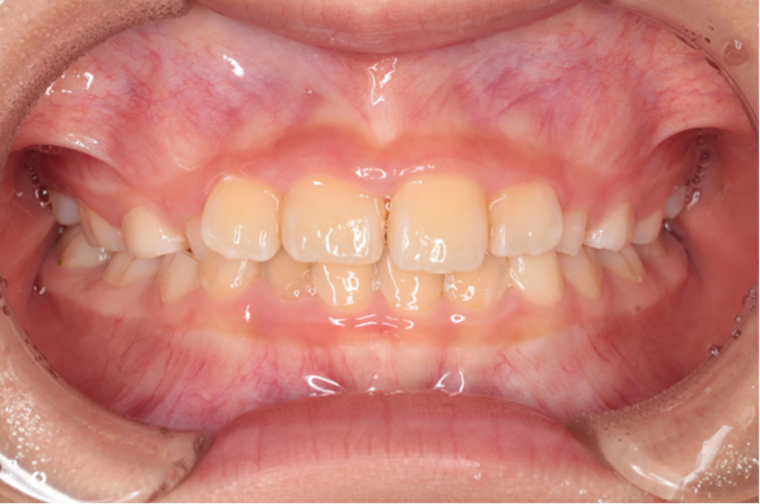
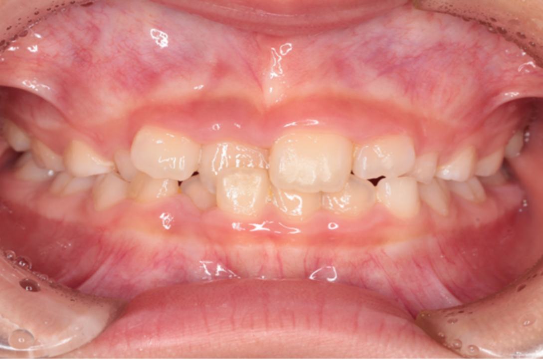
交差している歯並びを改善しました
Under Treatment
まずは保護者の方のお悩みや疑問を伺い、相談当日にレントゲン撮影や口腔内診査を行い、現在のお子さまの状態を分かりやすくご説明します。
矯正相談後、おおよそ1週間程度で再度ご来院いただきます。
レントゲンをより詳しく分析した情報を元に、診断とご説明を行います。その後、お子様に最適な治療計画を立案致します。この内容に納得いただけたら治療に進んでいきます。
治療の必要があれば最適な時期をご提案し、急ぐ必要がなければ経過観察を行います。
治療が終わった後も、良い状態が保てるようサポートします。
お子さまの治療のタイミングは一人ひとり異なります。
焦る必要はありませんし、「早く始めないと手遅れ」という考えが必ずしも正しいわけではありません。
赤坂まつの矯正歯科では、必要なときに、必要な治療を行うという方針を徹底しています。ネット情報に振り回されず、まずは専門家の診断を受け、正しい知識を得ていただくことをおすすめします。
【アクセス】
千代田線「赤坂」駅より徒歩約5分
銀座線・丸ノ内線「赤坂見附」駅より
徒歩10分
【診療時間】
[月] 14:30〜 [火・水・金・土] 10:00〜
休診日: 木曜・日曜・祝日
詳しい診療時間はこちら
